阳泉市交通运输局组织开展《国防交通法》宣贯活动
2026-04-23 07:54:06
医者仁心感动疆鄂!新疆小伙的三千公里“折返跑”
极目新闻通讯员 沈隽宁
近日,一面来自新疆哈密的锦旗,跨越三千公里,承载着患者裴先生对咸宁市中心医院关节外科、运动医学科的深切感激。这背后,是一个关于生命托付、医者仁心的动人故事。
意外车祸后的生命托付
2023年5月,26岁的裴先生因公出差至咸宁,不幸遭遇车祸,导致右髋关节严重受伤,诊断为“右侧股骨上段粉碎性骨折”。突如其来的伤痛让他陷入身心双重困境:疼痛难忍、活动受限,甚至出现心慌、失眠和食欲不振。在异地他乡的无助时刻,关节外科、运动医学科医护团队给予了裴先生无微不至的关怀,从专业角度反复分析病情,给予他关心和安慰,每日查房时都会鼓励他坚持康复锻炼,用温暖的话语激发他的斗志。
专业与温情并重的救治
面对复杂的病情,科室医护团队迅速制定个性化手术方案,并同步开展心理疏导。“医生不仅分析病情,还像家人一样鼓励我。”裴先生回忆道。2023年6月2日,团队为其成功实施“右侧股骨上端粉碎性骨折闭合复位内固定术”。术后,医护人员每日跟进康复进展,用专业指导和暖心话语助他重燃信心。

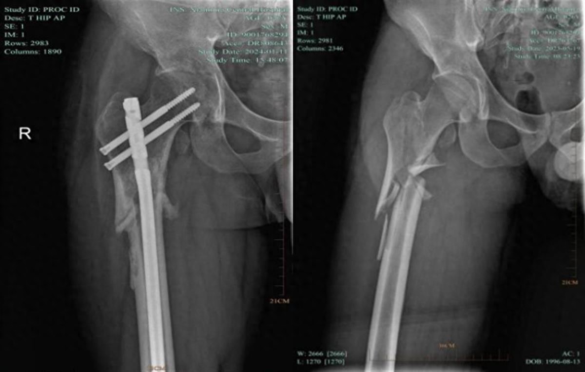
术前术后对比图
千里“医”线牵,云端护安康
出院后,裴先生送了一封感谢信,讲述了这段跨越三千公里的医患深情。

在返回新疆后,陈沼飞医生通过微信定期追踪其康复进展,督促复查。跨越三千公里的远程关怀,让裴先生的康复之路始终有“医”靠。从术后指导到心理支持,细致的随访服务令他感慨:“虽远隔山河,但温暖从未缺席。”这份跨越地域的医患情谊,正是咸宁市中心医院“以患者为中心”理念的生动诠释。

千里奔赴,只为信任
今年初,裴先生需取出内固定物时,他毫不犹豫再次跨越三千公里返咸。“在这里,我感受到家的温暖,只有他们能让我放心。”这份信任,最终化为第二面锦旗上的赞语:“医德高尚医术精,关爱病患暖人心”。

“以患者为中心,不仅是口号,更是行动准则。”科室主任表示,团队将持续精进技术,用仁心仁术为更多患者点亮希望。
一面锦旗,一段跨越山河的信任;一句感谢,一份对医者初心的致敬。咸宁市中心医院关节外科、运动医学科用技术与温度书写了新时代医患关系的典范。
未来,他们将继续以精湛医术护航健康,让更多患者重获“行走的自由”。
(来源:极目新闻)
更多精彩资讯请在应用市场下载“极目新闻”客户端,未经授权请勿转载,欢迎提供新闻线索,一经采纳即付报酬。24小时报料热线027-86777777。
2026-04-23 07:54:06
2026-04-23 07:51:51
2026-04-23 07:49:37
2026-04-23 07:47:23
2026-04-23 07:45:09
2026-04-23 07:42:54
2026-04-23 07:40:40
2026-04-23 07:38:26
2026-04-23 05:11:45
2026-04-23 05:09:31
2026-04-23 05:07:17
2026-04-23 05:05:03
2026-04-23 05:02:48
2026-04-23 05:00:34
2026-04-23 04:58:20
2026-04-23 04:56:05
2026-04-23 04:53:51
2026-04-23 04:51:36
2026-04-23 02:24:56
2026-04-23 02:22:42