女朋友说不可能了还能挽回吗(前任说了绝不可能)
2026-01-30 11:58:45
小孩支原体感染一直低烧咳嗽 孩子支原体感染反复发烧咳嗽

按照往年的经验,肺炎支原体感染通常高发于秋冬季,但今年它提前来袭了。最近一段时间,网上关于支原体肺炎反季高发的新闻引发许多关注,不少家长表示,自己的娃也感染了。开学季来了,许多家长还担心即将进入集体环境的孩子也感染该病。支原体肺炎到底是什么?万一感染了,该如何治疗?【妇幼健康科普】
✦ +
支原体肺炎是什么?
肺炎支原体是引起小儿肺炎的重要病原,近年来感染率逐渐增加。一年四季均可发生,但通常多在秋冬时节。其中,5-15岁儿童的发病率较高,5岁以下儿童感染也并不少见。
感染后以发热、咳嗽为主要临床表现,可伴有头痛、咽痛、胸痛、耳痛等。支原体肺炎起病一般较为缓慢,临床热型不定,热程约1-3周。刺激性干咳是最突出的症状,且咳嗽持续时间长。感染患儿通常初为干咳,后转为顽固性剧咳,咯少量粘液性稠痰。
从不同年龄上看,年长儿常有咽痛,胸闷、胸痛等症状。婴幼儿则起病急,病程长且重,呼吸困难、喘憋和双肺哮鸣音较突出。大部分患儿肺部体征不明显,有1/3左右病例在整个病程中无任何阳性体征。少数病例肺部呼吸音减低,有干湿性啰音。还有部分患儿有多系统受累,出现如心肌炎、心包炎、贫血、血小板减少、脑膜炎、皮疹等。

如何诊断支原体肺炎?
目前,支原体肺炎的诊断主要依靠支原体抗体检查和血清冷凝集试验以及鼻咽拭子的核酸检测。影像学表现是临床判断病情严重程度和评估预后的主要依据之一,肺炎支原体肺炎早期胸片或胸部CT主要表现为支气管血管周围纹理增粗、增多、支气管壁增厚,可有磨玻璃影、“树芽征”、小叶间隔增厚、网格影等,再结合上述检测即可作出诊断。
如何治疗支原体肺炎?
国家卫生健康委印发的《儿童肺炎支原体肺炎诊疗指南(2023年版)》指出,肺炎支原体肺炎最佳治疗窗口期为发热后5至10天。轻症患儿除抗肺炎支原体治疗外,不应常规使用全身性糖皮质激素治疗,重症患儿应采取不同侧重的综合治疗(抗感染、糖皮质激素、支气管镜、抗凝等联合),既要关注混合感染,也要准确识别和治疗过强炎症反应及细胞因子风暴。
很多家长可能对支气管肺泡灌洗术不太了解,简单来说,它是纤维支气管镜由鼻腔进入支气管后直接到达肺内病变部位,直视下进行肺泡灌洗,操作时会将恒温液体直接灌注至肺段或肺亚段水平的病变部位,在稀释病变部位的粘稠分泌物后负压吸出。
支气管肺泡灌洗术可以缓解气道阻塞,改善呼吸功能,促进肺部炎症的吸收,预防远端支气管的变性、甚至坏死。但轻症不推荐常规支气管镜检查和治疗。怀疑有黏液栓堵塞和塑形性支气管炎(PB)的重症患儿应尽早进行支气管镜介入治疗,以减少并发症和后遗症的发生。
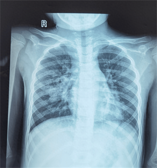
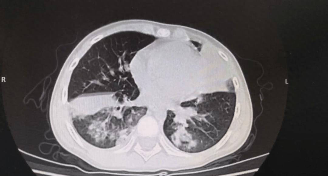
下面展示的是一组重症肺炎患儿经气管镜灌洗的前后变化,不难看出,灌洗后的肺部炎症,较之前明显吸收。

气管镜灌洗前

气管镜灌洗后
如何预防肺炎支原体感染?
预防肺炎支原体感染,建议可从以下几点着手:
流行季节尽量避免到人群密集、通风不良的公共场所;
外出回家后认真洗手、洗脸,注意手卫生;
居家、学校、幼托机构注意室内通风;
保证充足睡眠,勤锻炼,增强抵抗力。
顺义妇儿医院儿科高金明医生提示,如遇到孩子出现反复发热、咳嗽等相关症状时,建议家长尽早带孩子就医,由医生来帮助患儿诊断情况,以免病情加重。
文字|儿科 高金明
2026-01-30 11:58:45
2026-01-30 11:56:31
2026-01-30 04:06:10
2026-01-30 04:03:56
2026-01-30 04:01:42
2026-01-30 03:59:27
2026-01-30 03:57:13
2026-01-30 03:54:59
2026-01-30 03:52:44
2026-01-30 03:50:30
2026-01-30 03:48:16
2026-01-30 03:46:01
2026-01-30 03:43:47
2026-01-30 03:41:33
2026-01-30 03:39:18
2026-01-30 03:37:04
2026-01-30 03:34:50
2026-01-29 18:11:00
2026-01-29 18:08:46
2026-01-29 18:06:31