让大家知道白炭黑到底是什么?
2025-12-21 13:18:22
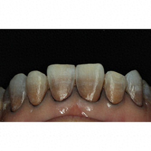
四素环牙到底是什么?它又是如何形成的?

Q1:四环素牙是怎么形成的?
在牙胚的发育矿化期,服用了四环素类的药物,四环素分子被结合到牙组织内引起的牙着色形成了四环素牙。
四环素牙初期会呈黄色,在阳光的照射下会呈现明亮的黄色荧光,后会逐渐由黄色变成棕褐色或是深灰色,这种转变是逐渐进行的,并且会因为阳光被促进速度,所以切牙的唇面会最先变色。
四环素引起的牙齿着色和釉质大于不全,都只会在牙胚发育期才能被显现出来。
所以,一般在6-7岁后再给药就不会再引起明显的牙着色。
Q2:得了四环素牙我该怎么治疗才能恢复原来的牙齿?
由于四环素属于外界因素对牙齿表面釉质造成了不可逆的损害,并且容易出现发灰发黑的矿化现象。
所以,针对不同染色程度的四环素牙会有不同的解决方法。
1 轻度中度四环素牙可以通过冷光美白或是瓷贴面来改善
2 由于瓷贴面的遮色能力有限所以重度四环素牙需要通过瓷冠才能达到很好的美观效果。
2025-12-21 13:18:22
2025-12-21 13:16:07
2025-12-21 13:13:53
2025-12-21 13:11:39
2025-12-21 13:09:24
2025-12-21 13:07:10
2025-12-21 13:04:56
2025-12-21 02:52:09
2025-12-18 13:40:39
2025-12-18 04:30:30
2025-12-18 04:28:16
2025-12-18 04:26:01
2025-12-18 04:23:47
2025-12-18 04:21:33
2025-12-18 04:19:18
2025-12-18 04:17:04
2025-12-18 04:14:50
2025-12-18 04:12:36
2025-12-18 04:10:21
2025-12-18 04:08:07